Главная
/
Виниры
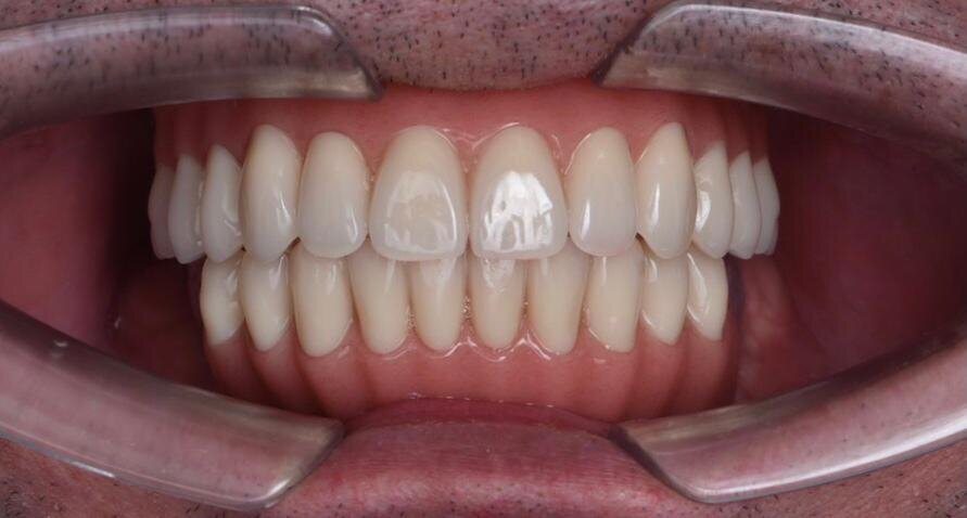
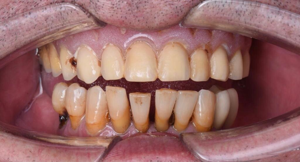
Виниры в Стоматологии Доктора Малькова
Блистайте голливудской улыбкой! Вам предлагаются на выбор новшества учёных в области стоматологии. И один из вариантов - художественная реставрация зубов винирами. Тонкие пластинки наносятся на внешнюю часть зубов, скрывая нездоровую желтизну. Врачи-стоматологи аккуратно создадут красивую форму зубов. Виниры показаны во многих случаях: керамические, фарфоровые или композитные - всё зависит от финансовых затрат.
Акции и скидки
Имплантация all in 4
Срок действия
Осталось 5 дней, до 14 мая
Бесплатная консультация
Срок действия
Осталось 5 дней, до 14 мая
Профессиональная гигиена полости рта
Срок действия
Осталось 5 дней, до 14 мая
Аксиография со скидкой
Срок действия
Постоянная акция
Фотогалерея
Отзывы
5,0
Ольга
Консультация у доктора Малькова произвела на меня отличное впечатление. Сергей Николаевич показал себя как истинный профессионал с глубокими знаниями в своей области. Прием продолжался довольно продолжительное время, врач посвятил мне все свое внимание и подробно разъяснил каждый момент. В работе с доктором для меня принципиально важно, чтобы он проявлял неравнодушие к состоянию пациента и четко излагал информацию о заболевании. Именно поэтому у меня появилось стремление записаться к нему на повторный визит.
1 мая 2026 Отзыв взят с сайта Zoon.ru
5,0
Олег
Недавно мой сын Михаил посетил стоматологию для профилактики, где ему очистили зубы от камней и налета. Он сказал, что врачи знают своё дело, вежливы и добры, лечение прошло так, что не было страшно. Я тоже уверен, что всё было сделано отлично, хотя сам не заглядывал. Сын выбрал клинику по отзывам в интернете, теперь понимаю, почему.
23 апреля 2026 Отзыв взят с сайта Zoon.ru
5,0
Елена
Мне очень понравилось обслуживание и скорость работы врача. Внутри все было чистенько и вежливо, даже предложили водичку. Сначала я сходила на бесплатную консультацию, где мне сделали снимок и провели осмотр. Доктор все объяснил и ответил на все мои вопросы, составил дальнейший план работы и быстро предложил время для записи. После этого приходила на лечение зубов и постановку пломбы, все прошло замечательно.
10 апреля 2026 Отзыв взят с сайта Zoon.ru
5,0
Корцова Татьяна
Приняли меня вовремя, без задержек. У меня была консультация по вопросу того, можно ли пролечить зуб или же его придется удалять и ставить коронку или имплант. С собой я принесла КТ, которое врач внимательно изучила. Она осмотрела мой зуб и сделала фотографию, которую вывела на экран, чтобы наглядно показать мне текущую ситуацию. Доктор подробно рассказала и обрисовала разные варианты лечения. Могу отметить ее профессионализм, внимательность и доброжелательность.
3 апреля 2026 Отзыв взят с сайта Zoon.ru
5,0
Тамара
Врач во время консультации проявила себя как настоящий профессионал. Она разложила всё по полочкам и объяснила ситуацию коротко, ясно и понятно, ничего лишнего мне не предлагали. Сама девушка очень вежливая и приятная в общении, ассистентка тоже оставила о себе замечательное впечатление. Я планирую сделать КТ и вернуться к этому же специалисту на чистку, а также продолжить дальнейшее лечение.
3 апреля 2026 Отзыв взят с сайта Zoon.ru
5,0
Дарья
Моя мама была на консультации по протезированию у самого доктора Малькова. Доктор всё подробно и внимательно объяснил, рассказал, что нужно делать, сколько это займёт времени и примерно сколько будет стоить, а также возможные варианты развития событий. Мама получила очень понятную и доходчивую консультацию, которая помогла ей понять картину и дальнейшие шаги. Мы выбрали эту стоматологию по отзывам, потому что семья моего молодого человека давно является пациентами клиники и очень рекомендует доктора Малькова как замечательного профессионала и хорошего человека. Всё очень понравилось, мама обязательно вернётся, когда появится возможность. Большое спасибо за внимание и заботу!
31 марта 2026 Отзыв взят с сайта Zoon.ru
5,0
Катерина
Мы с мужем и ребенком обращались в стоматологию, в целом у нас остались хорошие впечатления, сервис в клинике отличный. Администраторы всегда внимательные, приятно с ними общаться, всегда готовы подсказать. Ребенок был на осмотре и консультации, просто чтобы проверить, хватает ли места для новых зубов, так как ему 6 лет и у него шатаются нижние зубы. Врач сказал подождать, пока зубы вырастут, никаких проблем не выявили. Записаться удалось быстро, буквально за 3 дня, так что с организацией всё нормально. Муж ставил имплант и делал чистку, я тоже чистку проходила, а сестру мужа отправили делать элайнеры и капы, она уже второй год ходит. Мне очень нравится компетентность врачей, особенно доктора Малькова, он же основатель и гнатолог. У моей мамы тоже были импланты, и когда она приехала на консультацию, доктор Мальков быстро заметил, что нужно поправить, помог разобраться в ситуации. В целом мы довольны, знаем, что можем обратиться сюда, с ортодонтом тоже проблем не возникло, когда понадобилась консультация для ребенка.
30 марта 2026 Отзыв взят с сайта Zoon.ru
5,0
Елена
Мой супруг уже несколько раз посещал стоматологию, знаю, что лечение, которое еще в процессе, проводила Владислава и еще 1 врач. Все прошло отлично: подробно объяснили варианты лечения, предложили грамотный подход. Супруг приходит с удовольствием, врачи внимательные и профессиональные.
20 марта 2026 Отзыв взят с сайта Zoon.ru
5,0
Залина
Я влюбилась в Залину, такого доктора я в жизни не видела, это просто потрясающая девушка и классный врач! Она возилась со мной от и до, каждый зубик сфотографировала, всё объяснила, рассказала. Врач поменяла мне пломбочки в четырех зубах, полечила кариес, сделала какую-то интересную технологию с зеленой штукой, которая закрывает, наточила один зуб для красоты. Все результаты классные, она сделала именно то, что я хотела. Если бы не пришлось улетать, то продолжила бы лечение. Обязательно вернусь, когда буду в Москве, так как мне надо поменять коронки!
11 марта 2026 Отзыв взят с сайта Zoon.ru
5,0
Маргарита
Я к Малькову пришла специально и у меня в нем все устраивает. Я делала капы и был целый комплекс услуг, все понравилось. Выбрала доктора Малькова, потому что он работал раньше в клинике, куда ходила. Знаю, что врач работает качественно, к тому же сам по себе надежный, ведь раньше работал с моей мамой.
6 марта 2026 Отзыв взят с сайта Zoon.ru
5,0
Алина
В стоматологии уютно, красиво и чисто, сотрудники проявляют высокий профессионализм, доброжелательность и учтивость. Доктора Залина Тимуровна Мусакаева и Сергей Николаевич Мальков помогли со всеми моими вопросами и проблемами. Мое последнее посещение включало осмотр и ответы на все мои вопросы.
5 марта 2026 Отзыв взят с сайта Zoon.ru
5,0
Александр
Все было очень комфортно: и отношение персонала, и оборудование на месте, не пришлось никуда ходить, даже снимки делали сразу на месте. Сергей Николаевич квалифицированно протезировал зубы, все прошло без проблем. Все положительно, с человеческим отношением.
5 марта 2026 Отзыв взят с сайта Zoon.ru
5,0
Ирина
В стоматологии всё было чётко, внимательно, аккуратно и быстро. Персонал на ресепшене встретил прекрасно, атмосфера очень комфортная. Стоматолог-терапевт всё объясняла, показывала, слушала, чувствовалось настоящее понимание и доброжелательность. Доктор дала рекомендации по дальнейшему лечению зубов.
5 марта 2026 Отзыв взят с сайта Zoon.ru
5,0
Галина
Качество услуг и скорость работы впечатляют. Мне понравилось общение с персоналом, доктор Сергей Николаевич Мальков, который проводит мне имплантацию, очень вежливый и компетентный, подробно рассказывает, что будет делать. Смету подписываем до начала работ, всё прозрачно, понятна итоговая стоимость. Выбрала стоматологию, потому что она рядом с домом. В помещении всё современно и чисто, никаких нареканий нет.
5 марта 2026 Отзыв взят с сайта Zoon.ru
5,0
Анонимный пользователь
Процедуру удаления зуба мне проводил доктор Мальков, он отличался грамотностью, объяснил всё спокойно и успокоил меня. После удаления я чувствовала себя в целом нормально, получила полезные рекомендации не переохлаждаться и не перегреваться.
5 марта 2026 Отзыв взят с сайта Zoon.ru
5,0
Александра
Мне нравится мой доктор Владислава и её ассистент Олеся - они профессионалы своего дела. Все этапы лечения проходят максимально гладко: общение приятное, работа чистая, процесс быстрый, а результат качественный. Например, я недавно делала коронку и результат меня полностью устраивает, все супер. Обычно на визит записываюсь с запасом около 4-х недель.
4 марта 2026 Отзыв взят с сайта Zoon.ru
5,0
Екатерина
У меня было отбеливание зубов, врач с ассистентом проводили процедуру очень комфортно, постоянно спрашивали, как я себя чувствую. После отбеливания мне дали аккуратную папочку с рекомендациями по уходу, включая белую диету. Персонал приятный, коммуницировал хорошо, я хотела бы еще раз прийти, просто пока нет времени записаться, ребята здесь действительно хорошие!
4 марта 2026 Отзыв взят с сайта Zoon.ru
5,0
Оксана
На прием смогла попасть в течение 2-3-х дней. Я приходила на установку пломбы и импланта к Сергею Малькову - все просто отлично! Очень довольна качеством услуг и квалификацией докторов. Персонал вежливый, заботливый, всё подробно объясняют.
4 марта 2026 Отзыв взят с сайта Zoon.ru
5,0
Светлана
Мне хорошо полечили зубы - сделали чистку каналов и выполнили пломбирование, плюс, провели чистку зубов. Доктор Владислава Сергеевна внимательная, общение с ней было приятным. Записаться на приемы легко, девочки подбирают удобное время, обслуживание быстрое.
4 марта 2026 Отзыв взят с сайта Zoon.ru
5,0
Владислав
Меня впечатлил хирург Сергей, который очень внимательно подходил к своей работе, измерял каждый миллиметр и не закончил работу, пока не убедился, что мне ничего не мешает. Также приятно было общаться с Владиславой Сергеевной во время чистки каналов, приём был комфортным, она рассказывала всё по существу. Были моменты несогласия по поводу лечения, потому что изначально я не хотел делать некоторые процедуры, но она смогла убедительно объяснить их необходимость. Надеюсь, что лечение пройдет успешно и закончится положительно.
4 марта 2026 Отзыв взят с сайта Zoon.ru
5,0
Галина
Доктор Владислава Сергеевна - прекрасный врач, она выполнила свою работу качественно, пломбы держатся отлично. Она внимательная, отзывчивая, всё конкретно и конструктивно объясняет, поддерживает и тщательно следит за процессом, чтобы всё прошло хорошо.
4 марта 2026 Отзыв взят с сайта Zoon.ru
5,0
Ирина
Была в стоматологии год назад, все было отлично, лучше, чем даже ожидала. Прошел уже год, а у меня вообще нет претензий к зубу, к коронке - все отлично. Доктор работал по высшей категории: с вниманием, аккуратностью, дотошностью, делал все скрупулезно. Лечение зуба и восстановление коронки заняло около недели, все прошло нормально.
3 марта 2026 Отзыв взят с сайта Zoon.ru
5,0
Ксения
Я была на консультации у ортодонта, врач был милый, красивый и, кажется, понимает свою работу. Для меня важно, чтобы доктор объяснял, что он делает и что предлагает, чтобы я понимала, за что плачу и какой будет эффект. У меня был сложный случай, поэтому мы договорились, что врач будет на приеме с другим коллегой, но я не смогла, так как живу в Якутии и редко бываю в Саларьево. Записаться было очень удобно, так как я живу в этом доме, когда приезжаю сюда.
3 марта 2026 Отзыв взят с сайта Zoon.ru
5,0
Наталья
При обращении в эту стоматологию мне провели стандартный осмотр перед лечением кариеса. На первом приеме сделали фотографии и подробно показали состояние зубов, а затем регулярно демонстрировали изменения, что мне очень важно и хотелось бы, чтобы так продолжалось. Во время всей процедуры создавалась максимально комфортная атмосфера, а врач в общении проявлял внимание, заботу и доброжелательность.
1 марта 2026 Отзыв взят с сайта Zoon.ru
5,0
Елена
Процедуру провели быстро, врач работала четко и профессионально. Администратор встретил меня вежливо и обходительно. Хотя я немного опоздала, мне без проблем оказали услугу в полном объеме, все прошло отлично. После процедуры объяснили обычные рекомендации, ничего лишнего не предлагали и выполнили только то, что мне было нужно.
1 марта 2026 Отзыв взят с сайта Zoon.ru
5,0
Лариса
У меня была сложная ситуация с зубами, но персонал отнесся ко мне внимательно и провел качественное лечение. После всех процедур никаких болевых ощущений не возникало, чувствовала себя хорошо, поскольку доктор довел терапию до конца. Мне посоветовали использовать ирригатор и не забывать о плановых визитах для контроля состояния полости рта. Клинику искала недалеко от дома и в итоге осталась довольна выбором.
1 марта 2026 Отзыв взят с сайта Zoon.ru
5,0
Анонимный пользователь
Стоматолог-терапевт действовал с полной уверенностью, прикладывал максимум усилий и выполнял работу безупречно, не торопясь ради скорости. Результат получился превосходный, коронки установлены качественно, пломбы тоже сделаны отлично.
1 марта 2026 Отзыв взят с сайта Zoon.ru
5,0
Максим
Врач проявил уважение и внимательность, работа проходила без боли и очень тщательно. Профессиональная чистка зубов и лечение были выполнены на совесть. После процедур дали рекомендации по использованию определённой зубной пасты для поддержания результата.
1 марта 2026 Отзыв взят с сайта Zoon.ru
5,0
Марк
Устроили качество обслуживания и работа врача Владиславы Сергеевны Дорошенко. Она сразу нашла со мной общий контакт, провела гигиену и чистку аккуратно, без неприятных ощущений - в кресле у врача я чувствовал себя почти как дома. Кроме того, мне понравился сам интерьер клиники: помещение чистое и приятное. При входе администратор предложил воду или чай/кофе, также есть санузел для клиентов. Выбрал эту стоматологию по рекомендации, но теперь сам готов её советовать - прежде всего из‑за профессионализма врача.
13 февраля 2026 Отзыв взят с сайта Zoon.ru
5,0
Алла
Всегда приятно посещать клинику: врачи дают полную информацию, цены отличные. А самое важное, организация удобно расположена рядом с домом. Последний раз была у Сергея Николаевича, а гигиену делала у Владиславы Сергеевны - всё очень аккуратно и внимательно. Ценю, что лечение проходит под контролем исследований, таких как аксиография и МРТ, которые тщательно делают, учитывая мою сложную ситуацию с накладками. Врачам можно доверять, они очень внимательные и профессиональные.
13 февраля 2026 Отзыв взят с сайта Zoon.ru
5,0
Варвара
За два года посещения ортодонта с ребенком у меня не возникло никаких претензий. Врач легко находит общий язык с детьми, общается с ними и даже шутит, что помогает ребенку чувствовать себя комфортно. Персонал на ресепшене всегда вежливый и быстро оформляет необходимые документы всего за несколько минут. Мы продолжаем обращаться в эту стоматологию, так как она находится недалеко от нашего дома.
12 февраля 2026 Отзыв взят с сайта Zoon.ru
5,0
Анонимный пользователь
Мне нужна была консультация по ортодонтии, доктор Мальков всё объяснил очень развёрнуто и понятно. Сразу видно - грамотный профессионал, ответил на все мои вопросы. В целом приём прошёл отлично!
12 февраля 2026 Отзыв взят с сайта Zoon.ru
5,0
Сергей
Всё прошло хорошо, ничего не болит после приёма! Мне перелечивали зуб: удалили старую пломбу, почистили каналы и новую поставили. Врач дал рекомендации: что на период анестезии не есть и не пить, плюс объяснил по дальнейшему лечению. Специально стоматолога я не выбирал, просто записался в клинику - результат меня устроил.
12 февраля 2026 Отзыв взят с сайта Zoon.ru
5,0
Эльвира
Хирург-ортопед на консультации сразу чётко определил мою проблему и объяснил, в чём дело - никакого юления, всё быстренько и по делу. Я узнала, что мне неправильно сделали импланты, благодаря его компетентности пришлось поехать и поменять всё, что сделали раньше. Мне он показался очень приятным в общении, настоящий профессионал в своей сфере.
12 февраля 2026 Отзыв взят с сайта Zoon.ru
5,0
Мишель
Качество услуг проявилось в том, что мне всё понятно, у ребенка ничего не болит - это главное. Отдельно хочу отметить, как Азамат Борисович взаимодействовал с моим ребенком: они говорили на одном языке, поэтому пациент не боится и сам хочет ходить к этому доктору. Мы пришли на установку ортодонтической конструкции и теперь проходим сопровождение.
12 февраля 2026 Отзыв взят с сайта Zoon.ru
5,0
Кристина
Чистка зубов прошла безупречно, а консультация была очень подробной и информативной. Специалист тщательно объяснил все нюансы и ответил на все мои вопросы, в том числе мы обсудили, что лучше выбрать: брекеты или виниры, и в итоге приняли решение остановиться на брекетах. Кроме того, осмотрели зубы, которые, вероятно, потребуется восстанавливать.
11 февраля 2026 Отзыв взят с сайта Zoon.ru
5,0
Наталья
Принимают всегда без задержек, даже в срочных случаях находят время. В клинике очень вежливо, комфортно и удобно, к тому же она находится близко. Стоимость услуг не завышенная, особенно если сравнивать с другими, это меня полностью устраивает. На последнем приеме была у хирурга, чтобы перестраховаться из-за возможного скола, но всё оказалось в порядке. Все врачи, к кому обращалась - и терапевт, и гигиенист, и хирург - ведут себя очень лояльно и комфортно. Общение всегда вежливое, при этом никто не навязывает лишних услуг, все говорят строго по делу.
11 февраля 2026 Отзыв взят с сайта Zoon.ru
5,0
Ирина
Давно обслуживаюсь в клинике, она рядом с домом, врачи всё делают быстро и оперативно. Персонал доброжелательный, а врач Дорошенко Владислава Сергеевна - профессионал! Если что-то не нравится, всегда переделает, как нужно. В клинике комфортно, записаться легко, ждать не приходится. Приятная атмосфера и позитивные взаимоотношения с сотрудниками.
11 февраля 2026 Отзыв взят с сайта Zoon.ru
5,0
Карина
Хочется отметить врача Азамата Борисовича - у него замечательная энергетика, в работе он проявил себя просто супер. Общение было очень комфортным, всё объяснял понятно, достаточно было полуслова. Обращалась для подклейки ретейнера. Выбрала эту стоматологию из-за ее близости к дому.
11 февраля 2026 Отзыв взят с сайта Zoon.ru
5,0
Кира
Очень довольна профессионализмом и вниманием людей, которые в клинике работают. Мне ставили ретейнеры, процедура заняла от получаса до часа, все прошло оптимально. Место для процедуры устроило полностью. Доктор дал рекомендации по гигиене, наблюдению и дополнительной ночной капе.
11 февраля 2026 Отзыв взят с сайта Zoon.ru
5,0
Марина
Молодой доктор, симпатичный парень, помог решить мою проблему с временной коронкой на отличном уровне. Его профессионализм, аналитический подход и манера общения проявили все лучшие качества. Сейчас планирую вернуться в эту стоматологию для проведения имплантации, так как все после удаления уже зажило.
11 февраля 2026 Отзыв взят с сайта Zoon.ru
5,0
Алсу
Я приходила в стоматологию по совету родственников, качество выполнения работы отличное, ничего не болит после приема. Доктор Мальков Сергей Николаевич проявил себя как компетентный и внимательный специалист. Администраторы работают отлично, записаться было удобно.
10 февраля 2026 Отзыв взят с сайта Zoon.ru
5,0
Наталья
Давно посещаю эту стоматологическую клинику, меня полностью устраивает всё: и сама клиника, и доктор. Мне нравится опыт и качество работы Малькова Сергея Николаевича, который проявляет себя как вежливый, профессиональный и внимательный доктор на приёме. Я рекомендую эту клинику именно за высокий профессионализм врача.
10 февраля 2026 Отзыв взят с сайта Zoon.ru
5,0
Максим
Здесь лечусь уже почти год и пока полностью доволен. Клиника расположена удобно, специалисты доходчиво объясняют все нюансы лечения, аргументируют необходимость процедур, не предлагают ничего лишнего. Прохожу длительное лечение: сначала закончил коррекцию элайнерами, теперь занимаюсь установкой виниров. Со мной работают 2 врача, оба грамотные и приятные в общении. Все идет по плану, сроки соблюдаются, никаких вопросов не остается.
7 февраля 2026 Отзыв взят с сайта Zoon.ru
5,0
Владислав
Сразу хочу отметить профессионализм доктора, я видел, что он превосходно знает свое дело. Кроме того, он сумел рассказать мне даже о сложных вещах доступным и ясным языком! Отношение ортодонта ко мне было замечательным, главное то, что он был по-человечески внимательным.
5 февраля 2026 Отзыв взят с сайта Zoon.ru
4,0
Надежда
Я проходила процедуру отбеливания. Понравился вежливый персонал и комфортные условия. Процедура прошла нормально, без особых впечатлений, но доктор дала полезные рекомендации по гигиене, чтобы дольше сохранять состояние зубов. Доктор Владислава Сергеевна Дорошенко очень доступно все объясняет, внимательная и коммуникабельная.
4 февраля 2026 Отзыв взят с сайта Zoon.ru
5,0
Елена
Мне очень понравилось хорошее отношение к клиенту и качественная работа. Доктор делал всё очень аккуратно и деликатно, постоянно спрашивал, не больно ли мне. Он проявил себя как вежливый, заботливый и внимательный профессионал. Последней услугой было лечение кариеса, меня всё полностью устроило.
4 февраля 2026 Отзыв взят с сайта Zoon.ru
5,0
Александр
Профессионализм и аккуратность врача Владиславы Сергеевны Дорошенко, которая сделала зубы хорошо, понравились. Я проходил лечение и протезирование, ценю удобное расположение клиники, ведь она близко ко мне, чтобы не надо было ездить далеко. Врачи хорошие, с опытом, меня устроила их внимательная и доброжелательная работа.
3 февраля 2026 Отзыв взят с сайта Zoon.ru
5,0
Елена
Меня полностью всё устроило - и качество работы, и отношение персонала. Отмечу очень вежливое и внимательное обращение как со стороны доктора, так и со стороны администраторов. Все приемы проходили точно в записанное время, без каких-либо сбоев. Перед лечением проводились необходимые дополнительные исследования, вроде КТ или снимков, их качество было отличным. Доктор Сергей Николаевич Мальков на приёме всё подробно объяснял, показывал и рассказывал. Записаться на приём было легко, я целенаправленно обращалась к этому стоматологу.
3 февраля 2026 Отзыв взят с сайта Zoon.ru
5,0
Анонимный пользователь
В первую очередь меня устроила работа сотрудников. Доктор проявил грамотный подход, который привёл к отличному результату - он смог решить все проблемы, с которыми я обратился. Самая важная рекомендация, которую я получил - это внимательно следить за своим здоровьем. Последней услугой была установка коронок, всё прошло очень хорошо.
3 февраля 2026 Отзыв взят с сайта Zoon.ru
5,0
Елена
Заслуживает высшей оценки в первую очередь отношение всего персонала - от администраторов до доктора. В клинике очень приятная атмосфера, а качество оказанных услуг меня полностью устраивает. Доктор заслуживает особой похвалы: он советует именно то, что необходимо сделать. Он не только выполнил необходимую работу по установке имплантов, но и предложил варианты для эстетического улучшения, сделав мои зубы красивее. В общении для меня важны его личные качества: доброе и внимательное отношение к пациенту, понимание, дружелюбие. При этом он никогда не навязывает ненужные услуги, а только рекомендует то, что можно улучшить, оставляя окончательное решение за мной. Я обязательно планирую вернуться на гигиену, как только появится возможность.
3 февраля 2026 Отзыв взят с сайта Zoon.ru
5,0
Анонимный пользователь
Визит прошёл комфортно, без суеты и в спокойной обстановке. Я даже мог смотреть телевизор, пока специалисты выполняли свою работу. Негативных последствий не было, всё меня устроило! Мне проводили удаление зуба, перед процедурой сделали необходимую диагностику, вероятно, МРТ или аналогичное исследование. Доктор Мальков Сергей Николаевич общался тактично, никакого дискомфорта во время лечения я не почувствовал.
3 февраля 2026 Отзыв взят с сайта Zoon.ru
5,0
Татьяна
Я лечусь в этой клинике не первый раз и всегда остаюсь очень довольна. Мне оказывает помощь доктор Владислава Сергеевна Дорошенко, её медицинская помощь высокопрофессиональна. Я ценю её за то, что она принимает решения оперативно, глядя на исходный материал, даёт отличные рекомендации и замечательно лечит. Её лечение проходит без неприятных побочных или долговременных ощущений. Что касается самой клиники, то в ней очень комфортная атмосфера, меня всё полностью устраивает.
3 февраля 2026 Отзыв взят с сайта Zoon.ru
5,0
Наталья
В клинике обслуживание, отношения и чистота отличные, всё супер! В последний раз я была на приеме терапевта Владиславы Сергеевны Дорошенко и получила консультацию по протезированию зуба у Сергея Николаевича Малькова.
26 января 2026 Отзыв взят с сайта Zoon.ru
5,0
Антон
Мои родственники проходили имплантацию в этой клинике, и поскольку мне нужна именно эта услуга, я тоже решил обратиться сюда. В нашем регионе подобного сервиса нет, плюс здесь можно сделать снимок и получить грамотное профессиональное обслуживание. Врач-хирург подробно все объяснил, продемонстрировал процедуру и выполнил необходимые манипуляции.
25 января 2026 Отзыв взят с сайта Zoon.ru
4,0
Анонимный пользователь
Недавно я записывалась на установку пломбы, а мой муж обращался для удаления зуба мудрости. Все процедуры прошли без проблем, врач работал качественно и вежливо общался с нами. Записаться получилось быстро, а атмосфера в клинике была приятной и комфортной.
25 января 2026 Отзыв взят с сайта Zoon.ru
5,0
Наталья
Доктор Владислава Сергеевна Дорошенко устанавливала мне коронку, сохранив мой зуб. Она сначала выполнила осмотр, разговаривала вежливо, с юмором, дружелюбно откликалась на мои просьбы включить музыку или телевизор.
25 января 2026 Отзыв взят с сайта Zoon.ru
5,0
Марина
Обслуживание в клинике качественное, запись на прием через интернет оказалась удобной и быстрой на подходящее время, в кабинетах соблюдается стерильность. Проходила профессиональную чистку зубов, процедура прошла превосходно, болезненных ощущений не было, врач внимательная и отзывчивая.
25 января 2026 Отзыв взят с сайта Zoon.ru
5,0
Елена
Посетила стоматолога для лечения зуба и проведения чистки, процедуры прошли в комфортной обстановке. Врач не предлагал ненужных услуг и поделился ценными рекомендациями относительно прикуса, взаимодействие с доктором было приятным и дружелюбным. Выбор стоматологии был обусловлен удобным расположением недалеко от моего дома.
25 января 2026 Отзыв взят с сайта Zoon.ru
5,0
Ара
Врач оказался настоящим профессионалом, все сделал четко и без задержек. Операция по удалению зуба прошла гладко, рана затянулась без проблем, и позже мне поставили имплант. Я сначала хотел просто запломбировать зуб, но доктор осмотрел его и объяснил, что спасать уже нечего, поэтому пришлось удалить. Он принял верное решение.
24 января 2026 Отзыв взят с сайта Zoon.ru
5,0
Сергей
Прекрасная стоматология, я в восторге от профессионализма девушки, которая меня лечила. Процедура лечения передних зубов была настолько профессиональной и приятной, что я испытывал настоящее удовольствие без какого-либо дискомфорта. Общение с доктором Владиславой Сергеевной Дорошенко было очень приятным, она молодая, красивая и исключительно профессиональная, я не знаю, кто может работать лучше. Это идеал в профессии, общаться с ней было очень приятно. Я хочу обратиться сюда еще по поводу имплантов, но пока не решился из-за финансовых причин.
24 января 2026 Отзыв взят с сайта Zoon.ru
5,0
Вера
Мне понравилось лечение и консультация, доктор соблюдал деонтологию, общение было приятным. Я делала гигиеническую чистку и реставрацию зуба, качество услуг отличное, в целом всё устроило. Мне порекомендовали систематическую профилактическую чистку, теперь буду соблюдать.
24 января 2026 Отзыв взят с сайта Zoon.ru
5,0
Екатерина
Приходила на консультацию к терапевту. Получила полный осмотр состояния зубов, осмотра оказалось достаточно, снимок не понадобился. Доктор очень внимательный, проконсультировал, дал подробный план лечения и рекомендации по чистке. Хоть лечение и сделала в другом месте, рекомендации полностью совпали с моим постоянным врачом, что меня очень устроило.
24 января 2026 Отзыв взят с сайта Zoon.ru
5,0
Кристина
Очень довольна клиникой, здесь чисто, современно, даже телевизор есть, чтобы отвлечься. В клинике внимательные врачи, они действительно прислушивались к моим жалобам и делали всё, чтобы процедуры прошли комфортно. Отдельная благодарность доктору Рафаилу, он спас зуб, который я уже собиралась удалять. Также благодарна Владиславе Сергеевне Дорошенко, у которой я впервые в жизни лечила зубы без боли, а еще Сергею Малькову, который установил 3 коронки максимально бережно, учтя все мои пожелания. Врач Мальков также очень безболезненно удаляет зубы, я была очень приятно удивлена этому!
24 января 2026 Отзыв взят с сайта Zoon.ru
5,0
Мухмад
Врачи стоматологии прекрасно знают свою работу. У меня было 5 воспалительных очагов, один зуб полностью восстановили, причём сделали это качественно. Врач, которая меня вела, реально выручила, не как в некоторых местах, где по 5 раз переделывают и берут деньги. Здесь же сделали всё профессионально с первого раза.
24 января 2026 Отзыв взят с сайта Zoon.ru
5,0
Александр
Меня устроило, что сделали именно то, что было нужно - устанавливал коронки. Оборудование в клинике хорошее, врачи умеют им пользоваться. Отношение ко мне как к пациенту было нормальным, хотя сама процедура была болезненной. Коронки пока держатся, результат меня устраивает! Администраторы также работают хорошо: когда я приходил за справкой для налоговой, всё выдали быстро.
23 января 2026 Отзыв взят с сайта Zoon.ru
5,0
Дмитрий
Пришел в эту стоматологию по отзывам и из-за удобного расположения рядом. Обращался к ортодонту Азамату Борисовичу для исправления прикуса. Меня впечатлил профессионализм сотрудников и общее качество услуг. Пока лечение ещё продолжается, поэтому конкретных рекомендаций после приёма не давали, но я уже доволен имеющимися результатами.
23 января 2026 Отзыв взят с сайта Zoon.ru
5,0
Наталья
Дочь приходила в стоматологию к доктору Владиславе Сергеевне для лечения сложного зуба с пульпитом и лечением каналов. Очень понравилась внимательность и дружелюбие доктора. Лечение еще в процессе, проходит нормально, дочери 17 лет и отношение с доктором у нее сложилось хорошее.
23 января 2026 Отзыв взят с сайта Zoon.ru
5,0
Константин
Профессионализм сотрудников виден, особенно хочу отметить работу Сергея Николаевича Малькова. Было лечение, гигиена и имплантация, виниры. Результат превзошел ожидания - зубы красивые, ровные, ничего не мешает, все очень достойно. Всё сделано качественно, подход индивидуальный.
23 января 2026 Отзыв взят с сайта Zoon.ru
5,0
Марина
Доктор Мусакаева Залина Тимуровна настоящий профессионал своего дела, к тому же она очень человечная - компетентная, чуткая и отзывчивая. Она очень скрупулезно подходит к лечению, используя микроскоп, что делает процесс более точным и качественным. Лечение кариеса прошло безболезненно, с обезболиванием, я планирую продолжить у неё лечение после небольшого перерыва. Кстати, КТ перед лечением зубов я тоже прошла в этой клинике.
22 января 2026 Отзыв взят с сайта Zoon.ru
5,0
Сергей
Обслуживание было приятным, быстрым и понятным - затратил мало своего времени. Удалял зуб у главного доктора Сергея Николаевича. Все прошло оперативно, врач порекомендовал обезболивающее и следить за зубом после процедуры.
22 января 2026 Отзыв взят с сайта Zoon.ru
5,0
Анонимный пользователь
Очень внимательный врач и медсестра, уровень обслуживания высокий. У меня сумасшедшая фобия стоматологии, но здесь максимально успокоили и все прошло менее нервно, чем обычно. Очень аккуратно и качественно выполнена чистка примерно за полчаса, я довольна. Все понравилось, классно все было, приду теперь на лечение.
22 января 2026 Отзыв взят с сайта Zoon.ru
5,0
Елена
Недавно записывала маму на консультацию в стоматологию по вопросу хирургии. Все прошло хорошо, качество обслуживания было отличным. Клиника произвела приятное впечатление, консультация оказалась содержательной, имя доктора не помню, но это была девушка.
21 января 2026 Отзыв взят с сайта Zoon.ru
5,0
Екатерина
Обратилась к стоматологу-терапевту с жалобой на боль в зубе для получения консультации. Меня встретили качественно, врач провел подробную консультацию и дал все необходимые рекомендации, общение с доктором произвело на меня положительное впечатление.
21 января 2026 Отзыв взят с сайта Zoon.ru
5,0
Елена
В последний раз я получила консультацию по имплантации, врач подробно рассказал о ходе процедуры и стоимости. Все прошло гладко и без нареканий благодаря профессиональному подходу специалистов.
20 января 2026 Отзыв взят с сайта Zoon.ru
4,0
Татьяна
В туалете стоматологии находились зубные щетки, что показалось мне весьма удобным и необычным решением. Врач подробно объяснил и продемонстрировал все этапы лечения моей проблемы с передними зубами. Сейчас проходит восстановление, и пока результат меня устраивает.
20 января 2026 Отзыв взят с сайта Zoon.ru
5,0
Татьяна
Посещала эту стоматологию дважды - полгода назад лечила зуб, а недавно мне положили лекарство на другой зуб при пульпите. Мне всё очень понравилось, обслуживание было отличным, а сама процедура прошла абсолютно безболезненно. Врач Владислава Сергеевна проявила себя как хороший профессионал, общение с ней было очень вежливым. Обычно я боюсь стоматологов, но здесь мне не было страшно, во многом благодаря приятной атмосфере, даже музыка мне запомнилась.
19 января 2026 Отзыв взят с сайта Zoon.ru
5,0
Евгений
Все сотрудники доброжелательные, отношение хорошее. Консультировал сам доктор Мальков Сергей Николаевич - все объяснил доходчиво и понятно. Выбрал клинику по совету друзей, да и живу недалеко.
19 января 2026 Отзыв взят с сайта Zoon.ru
5,0
Николай
Операцию по имплантации провели успешно. Сейчас все в порядке, ничего не беспокоит и не вызывает дискомфорта. Надеюсь, что так и останется.
25 декабря 2025 Отзыв взят с сайта Zoon.ru
5,0
Максим
Как только у меня возникла зубная боль, я сразу же обратился по телефону и меня быстро записали на прием. Подобное отношение произвело на меня отличное впечатление. Процедура извлечения зуба мудрости прошла гладко и без каких-либо осложнений.
24 декабря 2025 Отзыв взят с сайта Zoon.ru
5,0
Сергей
Проходил лечение зубов в этой клинике, где мне установили пломбу и провели удаление зубного камня. На данный момент пломбы держатся отлично и никаких болевых ощущений нет, что считаю основным критерием хорошо выполненной работы. Рассматривал возможность установки имплантов, однако временно отказался от этой процедуры из-за финансовых ограничений, но в будущем могу вернуться к этому вопросу.
23 декабря 2025 Отзыв взят с сайта Zoon.ru
5,0
Инесса
Прием по удалению зуба прошел хорошо. Мне было приятно находиться в клинике, начиная с ресепшена и заканчивая кабинетом врача. В стоматологии царит приятная и спокойная обстановка.
23 декабря 2025 Отзыв взят с сайта Zoon.ru
5,0
Павел
Врач поставил мне пломбу и вылечил кариес, пока все в порядке. Клинику я подобрал по отзывам, она находится недалеко от дома. Все прошло хорошо, и сам прием, и процедуры мне понравились.
23 декабря 2025 Отзыв взят с сайта Zoon.ru
5,0
Алена
Проходила процедуру ультразвуковой чистки зубов, которая прошла качественно несмотря на болезненные ощущения, никаких претензий нет и получила все необходимые рекомендации по дальнейшему уходу. Владислава Сергеевна Дорошенко работала как врач-гигиенист очень внимательно и вежливо, поэтому планирую записаться к ней снова. Мой муж удалял восьмой зуб у Сергея Николаевича. Клинику считаю надежной, поскольку туда ходят мои друзья, для меня важно вежливое отношение сотрудников и я увидела, что они стали более приветливыми и доброжелательными.
21 декабря 2025 Отзыв взят с сайта Zoon.ru
5,0
Юлия
Мы всей семьей пользуемся услугами этой стоматологии, все мы очень довольны. Я лично хожу к Сергею Николаевичу, он мне устанавливал импланты, а также к Владиславе Сергеевне Дорошенко на регулярную чистку зубов. Мне нравится, что после чистки врач дает рекомендации по уходу, для моих детей это особенно важно. В последний раз мне сказали, что у меня все хорошо, я просто продолжаю придерживаться своей привычной гигиены. Мы посещаем стоматологию регулярно, не только для чистки, но и для осмотра, если кому-то требуется лечение, мы его сразу получаем. Еще мои дети проходили лечение у ортодонта Азамата Борисовича.
20 декабря 2025 Отзыв взят с сайта Zoon.ru
5,0
Александра
Мне требовалась консультация терапевта, чтобы перелечить зуб. Врач была очень компетентна, она всё подробно рассказала и показала. В общении доктор проявила себя с лучшей стороны, отношение было добрым и вежливым. Выбор пал на эту стоматологию потому, что я решила просто сходить на консультацию.
20 декабря 2025 Отзыв взят с сайта Zoon.ru
5,0
Антонина
Мне проводили имплантологию, я полностью довольна полученной услугой. Мне понравились все составляющие: качество обслуживания, персонал и врачи. Работа была выполнена очень быстро, при этом мне хорошо всё объясняли и рассказывали, откликались на мои просьбы. Прием вел сам Мальков, я могу отметить его высокий профессионализм, соблюдение медицинской деонтологии и этики, он был доброжелательным и внимательным.
20 декабря 2025 Отзыв взят с сайта Zoon.ru
5,0
Ксения
Лечила кариес и осталась очень довольна! Мне особенно понравилось отношение персонала: доктор Владислава Сергеевна Дорошенко и её ассистент приятные. Я к ней теперь буду ходить постоянно, ведь она делает все четко и по делу, без навязывания лишних услуг. Записаться на прием удалось достаточно быстро, за неделю я смогла попасть в нужное мне время. Ещё мой муж лечился у нее, нет никаких нареканий.
20 декабря 2025 Отзыв взят с сайта Zoon.ru
5,0
Игорь
Мне запломбировали 1 зуб, все было сделано очень профессионально. Мне важно, что работа выполнена качественно. Девушка-врач подробно рассказывала обо всем в процессе лечения, все было понятно и хорошо.
20 декабря 2025 Отзыв взят с сайта Zoon.ru
5,0
Наталья
Мне понравился профессионализм доктора Сергея Николаевича Малькова. Он очень творческий, подходит к лечению с поиском решений для сложных задач, поэтому ему удалось решить мою проблему с имплантацией, от которой отказывались другие врачи. Сама услуга была очень комфортной, была хорошая, тёплая и почти домашняя атмосфера.
20 декабря 2025 Отзыв взят с сайта Zoon.ru
5,0
Алексей
Отметил отношение и профессиональные навыки - у меня вообще нет замечаний, одни плюсы. Мне уже 50 лет, я бывал в разных стоматологиях, в том числе дорогих, а здесь цена и качество оказались на удивление замечательными, я даже не ожидал такого, думал будет намного дороже. Мне делали пломбу, её поставили очень красиво и правильно. Девушка-доктор, которая меня принимала, работала спокойно, всё хорошо объяснила и выполнила.
19 декабря 2025 Отзыв взят с сайта Zoon.ru
5,0
Оксана
Мне очень понравилось, как все сделали, как подробно рассказывали и показывали каждый этап лечения. Последний раз я лечила кариес у доктора Мусаевой Залины и оценила ее профессионализм, внимательность и вежливость и скрупулезность.
19 декабря 2025 Отзыв взят с сайта Zoon.ru
5,0
Айса
Процесс удаления зуба мудрости был очень комфортным и совершенно безболезненным. Реабилитация прошла с минимальными побочными эффектами. Перед процедурой мне сделали КТ, а доктор мальков Сергей Николаевич проявил дружелюбие и ответственность. После операции дали подробные рекомендации, памятку и ссылку, объяснили, какие бальзамы и гели использовать для ухода.
18 декабря 2025 Отзыв взят с сайта Zoon.ru
5,0
Мила Сергеевна Киселева
Моему родственнику провели плановую гигиену полости рта, поменяли 2 пломбы и восстановили зуб. Врач работал оперативно, что нас порадовало, и пока никаких нареканий к результату нет. После всех манипуляций дискомфорта не было, все прошло гладко.
13 декабря 2025 Отзыв взят с сайта Zoon.ru
5,0
Юлия
Врач работал быстро, аккуратно и без боли. Он вылечил мне кариес, просверлил зуб и установил пломбу. После процедуры доктор посоветовал воздержаться от еды в течение часа.
11 ноября 2025 Отзыв взят с сайта Zoon.ru
5,0
Дарья
Все отлично прошло, я очень довольна! Доктор хорошо расположил к себе, услугу оказал безболезненно и быстро. После удаления полностью рассказал, как ухаживать за местом удаления и какие ограничения соблюдать. Все прошло прекрасно!
11 октября 2025 Отзыв взят с сайта Zoon.ru
5,0
Юрий
Всё шикарно, мне очень нравится! Хожу и буду ходить, хоть на другой конец города - меня всё устраивает. Мне сделали зубы, а раньше я был без них. Доктор Сергей Николаевич - педантичный человек, делает всё идеально! Мы с ним общаемся, приходим к общему решению, всё, что я хочу - он делает, причем вполне отлично.
11 октября 2025 Отзыв взят с сайта Zoon.ru
5,0
Сергей
Не первый раз обращаюсь, знаю, что врачи хорошо работают. У меня много знакомых стоматологов, которые тоже посмотрели результат и сказали, что работа отличная. Конкретно последний раз было удаление зуба мудрости, которое делал сам Мальков. Все прошло замечательно, очень быстро и качественно, я даже толком посидеть в кресле не успел. При выполнении стоматологических услуг, наверное, главное, получить результат.
10 октября 2025 Отзыв взят с сайта Zoon.ru
5,0
Доев Азамат Валерьевич
Все отлично! Очень опытная и приятная в общении девушка-доктор, все сделала профессионально и без боли. Чистка прошла идеально, после нее доктор дала полезные рекомендации по уходу за зубами. Клиника хорошая, всем доволен!
10 октября 2025 Отзыв взят с сайта Zoon.ru
5,0
Олег
Я долго мучился с протезированием в другой клинике - три года не мог нормально жить, пока не обратился к доктору Малькову. Сразу видно профессионала с большой буквы: чувствуется опыт, достоинство и настоящее понимание пациента. Мне как врачу с сорокалетним стажем было особенно важно это. В клинике созданы все условия - комфортная атмосфера с музыкой, телевизором, всё продумано до мелочей. После протезирования прошло уже время, но я абсолютно доволен - не ощущаю ничего лишнего, привык сразу. Супруга, которая тоже работала с Мальковым, настоятельно рекомендовала его. Планирую на очередной осмотр - только к нему!
10 октября 2025 Отзыв взят с сайта Zoon.ru
Удалить отзыв
Популярные услуги
Удаление зубов
от 2500 руб.
Виниры
уточняйте по телефону
Базовая стоматология
от 2500 руб.
Стоматологическая клиника
уточняйте по телефону
Имплантация зубов
от 12000 руб.
Металлокерамика на зубы
26000 руб.
Ортодонтия
от 2500 руб.
Ортопедическая стоматология
уточняйте по телефону
Рентген зуба
уточняйте по телефону
Установка брекетов
уточняйте по телефону
Остались вопросы?
Вы можете воспользоваться любым из указанных способов связи
Контактный номер
+7 (901) 256-83-...
Показать